Tamaño original Tamaño original

ACCIÓN 13 Noticias al Minuto...

Tu privacidad es importante para nosotros y por eso hemos tomado medidas para evitar que sea comprometida y solo usamos Cookies de empresas partner que ofrecen garantías y son seguras. Si continuas navegando por este sitio estarás aceptándolo así y nosotros nos comprometemos a no usar absolutamente ningún código o proceso que pueda afectar esa confianza depositada en nosotros Leer más

Servicio Independiente de Noticias para Colombia y el mundo
Desde 1996, Defendiendo la libertad de expresión



Resumen de Noticias

Ana María Arroyos, disfrutaba de un viaje desde Estados Unidos y terminó en coma
El caso de la pasajera de un crucero abandonada en Jamaica y muchas cosas para reflexionar
Las cosas que pasamos por alto al momento de salir de nuestro país

Lecciones que aprender sobre las precauciones que debemos adoptar al momento de iniciar un viaje al exterior.

Bogotá D.C., Mayo 06 de 2015. Sala de Redacción de ACCIÓN 13 Noticias. Tras una odisea en Jamaica, donde fue abandonada por la tripulación del crucero en el que viajaba, la ciudadana argentina Ana María Arroyos, regresó a su país donde se encuentra hospitalizada y con un parte médico que advierte sobre su condición “grave”, que la mantiene en un coma inducido y afectada de una sepsis generalizada, lo que los médicos describieron diciendo que "La infección del pulmón provoca una inflamación del órgano que afecta la oxigenación de la sangre". Independiente de la nacionalidad de la víctima de esta tragedia que se prolongó 20 días en los que su salud se deterioró hasta sumirla en su condición actual, el caso de Ana María Arroyos, nos debe servir de campanazo de alerta al momento de iniciar viajes al exterior por cuanto nadie está exento de enfermar en tierras lejanas.

Ana María Arroyos, la turista argentina que vio a su viaje soñado convertirse en pesadilla

Ana María Arroyos, la turista argentina que vio a su viaje soñado convertirse en pesadilla. Foto Facebook.

Ana María Arroyos es una mujer que a sus 49 años, aparte de esposa de Guillermo Baqué, y madre de dos hijas, siendo Celeste Baqué Arroyos, la menor, es amante de los perros, la naturaleza, la mar y la vida.

Ana María, vive junto a su familia en la ciudad de Quilmes, al sudeste del Gran Buenos Aires, y en su perfil de Facebook suele compartir frases de motivación, fotos de su familia, algunos selfies de vacaciones y fotos de perritos. Tal vez pensando en su esposo posteó un poema del cantante de tangos argentino Jorge Falcón, “Cuando estemos viejos”, aquel que dice “(…) Cuando estemos viejos yo te lo prometo compañera mía, serán nuestros años plenos de dulzura, serán nuestras horas llenas de alegría. Andaremos juntos, viejitos inquietos, las cuatro estaciones de un mundo de nietos. (…)”.



Ana María Arroyos, amante de la vida… (Foto Facebook).

Una vibrante Ana María, que gozaba de los días de sol, las playas, la mar y las vacaciones, comentó en su Facebook el 09 de abril, antes de iniciar su viaje de ensueño por el Caribe, hacia Estados Unidos: “Como los chicos… inquieta, contenta y expectante. Allá vamossssss!!! Hasta pronto!”.

Junto a su hija menor Celeste, Anita, como le dicen sus amigos, viajó desde Quilmes Oeste a Miami, Estados Unidos donde se embarcó en un crucero de Norwegian Cruise Line con bandera de Bahamas, una compañía naviera estadounidense, con sede en el Condado de Miami-Dade, Florida.

Norwegian Cruise Line, que comenzó sus operaciones en 1966 bajo el nombre de Norwegian Caribbean Line, pertenece al holding "Genting Group-Star Cruises" y su eslogan es Freestyle Cruising. Actualmente, la naviera posee 14 barcos, con los que opera rutas por diferentes mares del mundo: Mediterráneo, Norte de Europa, Caribe, Bahamas, Bermuda, Sudamérica, Canal de Panamá, Riviera Mexicana, Hawai, Alaska, Canada, Nueva Inglaterra.



El Norwegian Gem in Sicily, uno de los impresionantes cruceros de Norwegian Cruise Line. (Foto Corgi5623).

Los cruceros de Norwegian Cruise Line, ofrecen el concepto de Freestyle Cruising, según el cual “La oferta de actividades a bordo casi no tiene límites. Hay de todo menos una agenda predeterminada. Porque la agenda la propone usted individualmente - escalar, jugar a los bolos, nadar, tomar el sol, entrenar en el gimnasio, probar suerte en el casino, cantar en el karaoke o asistir a un espectáculo, leer un libro en la biblioteca. Y si después de tantas actividades quiere relajarse por un tiempo, puede darle un masaje o una manicura en el área del spa. Y para las escalas hay una gran selección de excursiones en tierra. En todos los puertos le esperan diferentes países con sus atractivos turísticos.”



(Foto Facebook)

Pero este sibarita plan de descanso, terminaría abruptamente para Ana María, cuando el pasado martes 12 de abril, empezó a experimentar fuertes dolores abdominales que la obligó a consultar con el médico de a bordo, quien le diagnosticó una gastroenteritis aguda y la medicó con "pastillas" y "pañales", para la diarrea, contó Celeste.

Pero las dolencias de Ana María, se agudizaron y, finalmente, aprovechando que el crucero arribó a Jamaica, la tripulación optó por desembarcar de emergencia a las dos argentinas, contra su voluntad, contaría Celeste, quien agregaría que las bajaron a la fuerza en Kingston, al punto que a Celeste, quien gritaba y exigía hablar con el cónsul de su país, la esposaron como a una delincuente. Celeste diría que "Semejante estructura de un crucero y no tienen para hacer análisis de sangre. El crucero no hizo lo que tenía que hacer. Estaban desesperados por bajarnos. Tendrían que haber llamado un helicóptero y sacarla lo antes posible, pero dejaron pasar dos días".

Ahí empezaría el verdadero suplicio para Anita y Celeste, abandonadas en Jamaica, y para sus familiares, tan lejos, en Quilmes, a unas 3,831 Millas de distancia, en una línea aérea de aproximadamente 6,166 kilómetros.

En Kingston, le diagnosticaron una infección vaginal que le había afectado los ovarios, por lo que procedieron a intervenirla quirúrgicamente para extirparlos. La indujeron en un coma, mientras los médicos informaron que la infección se había extendido a través del torrente sanguíneo afectando gravemente a sus pulmones por lo que empezó a padecer de un síndrome de dificultad respiratoria aguda (síndrome de distrés respiratorio agudo - SDRA). Anita necesitaba un respirador, pero el único existente en el hospital, ya se encontraba ocupado. “El lugar donde estaba internada era paupérrimo, una cama al lado de la otra. Tenía una infección en el abdomen que le llegó a los pulmones y casi la mata", contó a los medios Guillermo, el esposo.

Viendo que Anita, se agravaba cada vez más y que las capacidades tecnológicas del hospital de Kingston no eran las adecuadas para tratar su dolencia, a más que los costos de la atención médica se incrementaban excediendo los valores asegurados por Assist Card, el servicio de asistencia médica en viaje que había contratado la turista argentina, el cual "cubrió 20.000 dólares que se usaron para los primeros cuatro días de internación", según contó un atribulado Federico Guidi, su yerno, agregando que los gastos ascendían a unos 4000 dólares por día de internación, la familia comenzó a gestionar su repatriación a la Argentina. Celeste diría que la familia ya no tenía dinero para costear los tratamientos porque llevan gastados más de 40 mil dólares en tarjeta "más lo que se puso en efectivo".

La hija menor de Anita, reflexionaría que lo que vivió en Jamaica, "Fue muy duro porque estaba sola. Trataba de no asustar a mi familia. Me contenían mis amigas por Whatsapp y hablaba con papá por Skype. Mamá no se enteró de que estábamos buscando un avión sanitario. Se durmió y ni se dio cuenta de que tuvieron que entubarla"

Ahí empezaría otra etapa en la odisea de Anita, pues pese a los vehementes reclamos de sus familiares, aún debió permanecer 15 días en Kingston, en coma inducido y con su salud gravemente afectada por la sepsis que invadía su organismo. Finalmente Assist Card, que extendió los límites de cobertura y se hizo cargo de los gastos del traslado, logró fletar un avión ambulancia, un Learjet 60 equipado con tecnología médica, que con un costo de U$ 70.000, la trajo de vuelta a Argentina a donde aterrizó en el Aeroparque Internacional Jorge Newbery en la madrugada de ayer martes 05 de mayo minutos después de las 3 horas.



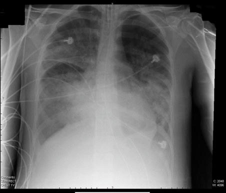
Afectada de una sepsis, una infección importante de varios órganos, con los pulmones "seriamente afectados", Ana María Arroyos, sería conducida al Sanatorio Finochietto, en la Av. Córdoba 2678 de Buenos Aires, donde los médicos tratantes confirmaron que la mujer sufrió una peritonitis que desató el cuadro.

Uno de los médicos que la atienden explicó que "El diagnóstico es crítico. Está grave. El pulmón está seriamente afectado, con una profunda inflamación que hace que se acumule líquido y que la oxigenación de la sangre no sea la óptima".

El parte médico agregaría que "Hubo una infección inicial que es pelviperitonitis que terminó comprometiendo el pulmón. Hay que completar la evaluación y decidir cambios en el tratamiento con antibióticos y con el soporte del respirador. Eso lo vamos a ir viendo en el momento a momento. El pulmón está seriamente infectado y también el abdomen donde fue sometida a una doble cirugía (en Jamaica)", y recordó que "La infección del pulmón provoca una inflamación del órgano que afecta la oxigenación de la sangre".

Conclusiones, reflexiones y recomendaciones finales

El caso de Ana María Arroyos, nos deja varias lecciones, en especial por cuanto no es único ni improbable de repetirse.

Lo primero que hay que tomar en cuenta es que nadie está exento de enfermarse durante un viaje. Al parecer Ana María Arroyos, ya padecía de una infección genitourinaria que se agudizó a bordo del crucero. La precariedad de los servicios sanitarios a bordo derivó en un error de diagnóstico que propició el avance de la infección.

Por ello es recomendable que antes de emprender un viaje, la persona se someta a un chequeo médico lo más completo que se pueda a fin de detectar cualquier dolencia estando aún en el país natal.

Solemos calcular los costos de un tratamiento médico según la moneda y el contexto de los servicios sanitarios de nuestro país, pero olvidamos que fuera de las fronteras patrias las cosas son distintas, los costos se cubren en dólares y la calidad de la atención médica depende de las condiciones del país anfitrión. No es lo mismo enfermar en nuestro país de origen que en un país más o menos avanzado tecnológicamente.

Al respecto es importante consultar plenamente las condiciones y coberturas de las pólizas de viaje y ampliarlas para lograr incluso un caso de repatriación de emergencia, como en el caso de Anita.

Es necesario ser previsivos y no dejarnos llevar por el entusiasmo de emprender el viaje. Si no se toman las precauciones adecuadas, las cosas se pueden complicar insospechadamente.

Con información de: https://www.musica.com/, https://www.entfernungsrechner.net/, https://www.lmneuquen.com.ar/, https://www.clarin.com/, https://www.infobae.com/, https://www.sanatoriofinochietto.com/, https://www.elintransigente.com/, https://escuela.med.puc.cl/, https://www.telam.com.ar/, https://www.diarioregistrado.com/, https://www.que.es, https://es.wikipedia.org/, https://www.crucerosncl.com/, https://www.facebook.com/anamaria.arroyos.

Enlaces y temas relacionados:

Joven argentina que viajó de vacaciones se encuentra cuadripléjica. Le diagnosticaron Síndrome de Guillain-Barre.

Cuatro enfermedades de transmisión sexual que se pueden adquirir sin sexo

El Norovirus y los casos de contagio a bordo de lujosos cruceros

Crucero de lujo Azamara Quest con 590 turistas y 411 tripulantes a la deriva cerca a Filipinas

Si desea consultar algún artículo o tema publicado con anterioridad en ACCIÓN 13 Noticias puede buscarlo directamente con la tecnología de Google:






Si usted encuentra un error en este artículo o cualquier otro contenido publicado, por favor háganoslo saber al correo accion13ong@gmail.com, igualmente, si usted vive en una ciudad donde se está desarrollando la noticia, por favor envíenos sus comentarios al respecto. Usted también es un reportero y puede escribir la historia.


Licencia Creative Commons
Esta obra de ACCIÓN 13 Noticias está bajo una Licencia Creative Commons Atribución-NoComercial-CompartirIgual 4.0 Internacional.
Basada en una obra de ACCIÓN 13 Noticias.
Permisos que vayan más allá de lo cubierto por esta licencia pueden encontrarse haciendo click en este link.

Aviso Legal: Todas las fotos contenidas en este sitio pertenecen a sus autores, excepto cuando se indique lo contrario. Se utilizan con el único propósito de ser una ayuda visual para transmitir o reforzar el contenido de la nota al lector y con fines informativos o culturales. Ninguna de las imágenes están destinadas a fines comerciales o de lucro, y las que resultaren propiedad de ACCIÓN 13 Noticias, se publican bajo la figura de Creative Commons, pudiendo ser distribuidas en forma totalmente gratuita y libre pero indicando su fuente. Si tiene alguna objeción o reclamo por la publicación de una imagen, por favor avísenos a accion13ong@gmail.com y esta será eliminada. Los editoriales y blogs publicados son responsabilidad exclusiva de sus autores y no reflejan necesariamente la forma de pensar de ACCIÓN 13 Noticias o de la Fundación ACCIÓN 13. La publicidad contenida en este sitio sirve para financiar la misma página por cuanto ACCIÓN 13 Noticias, es propiedad de la Fundación para el Desarrollo Comunitario ACCIÓN 13, una entidad Sin Ánimo de Lucro, y en cumplimiento de la Constitución y las leyes de Colombia, así como de sus propios estatutos, no puede repartir “ganancias” o “excedentes” si los hubiere dado que estos deben ser reinvertidos en la propia Institución. Pagamos impuestos en la República de Colombia, lo cual incluye IVA, Impuesto de industria y comercio ICA, y Retención en la Fuente.

Palabras clave: новости, News, Noticias

Para regresar haga click en este link:


FUNDACIÓN PARA EL DESARROLLO COMUNITARIO
ACCIÓN 13


NIT.830.048.747-1, Registro Cámara de Comercio de Bogotá S0008542. Dirección: Carrera 27 A # 53 - 06 Oficina 403, Edificio Orbicentro No. 1, barrio Galerías, Localidad 13 de Teusaquillo. Teléfonos: 57 + 1+ 7495316 – 57+ 1 + 5405643, Código Postal: 111311 - Bogotá D.C., Colombia, Sur América.
E-Mail. accion13ong@gmail.com

Nos sorprendemos contigo, Nos alegramos contigo, Nos preocupamos contigo, Nos entristecemos contigo, Nos enojamos por las mismas cosas que tú, Protestamos, denunciamos, cantamos, reímos o somos curiosos igual que tú, ACCIÓN 13 Noticias…estamos ahí contigo Las noticias contadas desde otro punto de vista